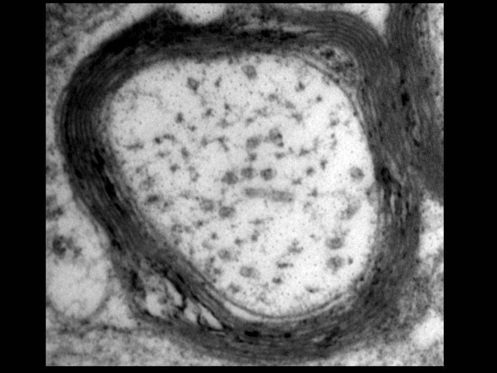
Myelination and extra cellular matrix regulation in development, disease and injury
Recent News
BIG congratulations to Kaleb Chassie for being awarded the 2024 SOURCE grant! Go Kaleb!
We are thrilled to welcome Keenan Hope, to pursue his PhD in our lab ! Keenan did his undergrad in U Maryland and is a graduate student in the CWRU BSTP program.
Major news! Our lab is thrilled and grateful for being funded by the Mizutani Foundation for Glycoscience in 2024 !!
We are thrilled to welcome Keenan Hope, to pursue his PhD in our lab ! Keenan did his undergrad in U Maryland and is a graduate student in the CWRU BSTP program.
Our lab is thrilled and grateful for the continued support from the Dystonia Medical Research Foundation for 2023! Thank you for your continued support for our dystonia research.
We are thrilled to welcome Bingmin Luo to our lab as a postdoctoral fellow! Bingmin did her PhD from Southern Medical University in Neuroscience from Dr. Zhongju Xiao’s lab.
BIG congratulations to Lauren Dittrick for being awarded the 2023 SOURCE STEM grant! Go Lauren!
Please check out the latest publication “Transcriptional regulatory network for neuron-glia interactions and its implication for DYT6 dystonia”.






